Radiographies dentaires

On se pose souvent des questions quant à la quantité de radiations auxquelles on s’expose lors de la prise de radiographies chez le dentiste et leur réelle nécessité par rapport aux effets néfastes sur notre santé.

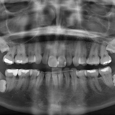
Avant tout, il faut considérer les raisons pour lesquelles on les prend. Les radiographies constituent un outil indispensable pour diagnostiquer des problèmes qu’on ne peut pas voir à l’œil nu. Notamment elles sont importantes pour voir les caries entre les dents ou sous d’anciens plombages, la position des dents de sagesse incluses, le niveau osseux entre les dents, les lésions ou infections affectant l’os, … De ce fait, un examen dentaire ne peut être considéré comme complet sans radiographies.

Si on parle de quantité de radiations, le graphique ci-dessous montre un comparatif approximatif avec d’autres sources de radiations auxquelles on fait face dans notre quotidien. On constate que la quantité de radiations auxquelles on s’expose chez le dentiste est très minime et encore loin du seuil dangereux. De plus, les appareils modernes de radiologie numérique nous ont permis de réduire la dose de plus de 50%.

Bien que la radiation émise soit déjà infime, les cabinets dentaires prennent toutes les précautions pour la minimiser encore plus. De ce fait, nous évitons de prendre des radiographies inutilement, nous utilisons des protections plombés pour le patient et nous diminuons autant que possible la dose de rayons-X pour chaque cliché.